Subscribe to out newsletter today to receive latest news administrate cost effective for tactical data.
2478 Street City Ohio 90255
OPD Day
Monday , Wednesday , Friday9am - 6pm
Procedure Day
Tuesday , Thursday , Saturday9am - 6pm
Sunday: Closed
Please contact us 24×7 for immediate help with Primary PCI to prevent damage to your heart.
A heart attack can cause irreversible damage to the heart muscle. The best chance of preserving heart function depends on timely administration of Primary PCI to avoid left ventricular (LV) damage.
Dr. Masood Ahmed has 33 years of extensive experience in the field of cardiology, with a special focus on diagnostic coronary angiography and complex interventional procedures. He has performed thousands of angiographies over his career, offering accurate diagnostic assessments and precise procedural execution for patients with various forms of coronary artery disease. His commitment to patient care and procedural safety has earned him a respected standing in the cardiology community.
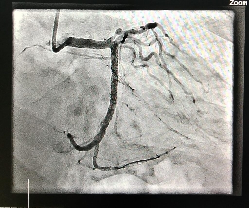
Coronary Angiography is a minimally invasive procedure that allows doctors to visualize the blood vessels of the heart to detect blockages, narrowing, or other issues. It is the gold standard diagnostic tool for assessing coronary artery disease and is typically performed when a patient exhibits symptoms like chest pain, shortness of breath, or unexplained fatigue. Angiography involves injecting a contrast dye into the coronary arteries and taking X-ray images to reveal any obstructions or irregularities in blood flow.
The process is performed in a specialized unit known as the catheterization lab or cath lab. During the procedure, a thin, flexible tube called a catheter is inserted into a blood vessel, typically in the wrist or groin, and guided to the coronary arteries. The dye is injected through the catheter, allowing the arteries to be seen clearly on the X-ray images. This helps doctors determine the severity and location of any blockages or narrowing in the arteries.
Angiography is particularly useful for:
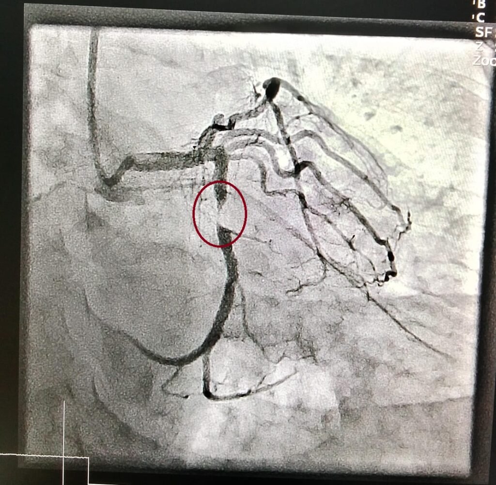
Angioplasty, also known as percutaneous coronary intervention (PCI), is an advanced procedure used to treat coronary artery disease by opening up blocked or narrowed arteries. The goal of angioplasty is to restore normal blood flow to the heart by removing obstructions that restrict the flow of oxygen-rich blood to the heart muscle. Angioplasty is often performed after coronary Angiography has revealed a significant blockage.
During angioplasty, a balloon catheter is inserted into the blocked artery. Once in place, the balloon is inflated to open up the narrowed area. In some cases, a stent—a small, mesh-like tube—is placed at the site of the blockage to help keep the artery open. This procedure is highly effective in relieving chest pain (angina), reducing the risk of heart attacks, and improving the overall quality of life for patients who have coronary artery disease.
There are two primary types of angioplasty:
Angioplasty has many advantages, making it an ideal treatment for patients with coronary artery disease:
Dr. Masood Ahmed has 33 years of extensive experience in the field of cardiology, with a special focus on diagnostic coronary angiography and complex interventional procedures. He has performed thousands of angiographies over his career, offering accurate diagnostic assessments and precise procedural execution for patients with various forms of coronary artery disease. His commitment to patient care and procedural safety has earned him a respected standing in the cardiology community.
In many cases, these conditions can be effectively and safely treated using advanced adjunctive devices such as Rotablator, Fractional Flow Reserve (FFR), and Intravascular Ultrasound (IVUS). My team, with over 20 years of experience working alongside me, is fully trained in the use of these technologies.
Dr. Masood Ahmed is one of the leading experts in the field of interventional cardiology. He provides a personalized approach to treatment and uses the most advanced diagnostic and therapeutic techniques to ensure the best outcomes for his patients. His commitment to staying updated with the latest advancements in cardiovascular care and his training in world-renowned centers ensures that you receive the highest quality care.
You may need Angiography and angioplasty if you experience:
If you are experiencing any of these symptoms or if you have been diagnosed with coronary artery disease, Dr. Masood Ahmed can help evaluate your condition and recommend the appropriate treatment.
The cost of angioplasty in Lahore varies depending on the hospital, the complexity of the procedure, and the type of stent used. For a single blood vessel—without the use of a rotablator or other additional devices—the cost typically ranges from PKR 350,000 to PKR 450,000.
Yes, angiography and angioplasty can often be done together, especially if a blockage is detected during the angiography, allowing immediate treatment.
Yes, 100% blocked arteries can often be treated with angioplasty, though the success may depend on factors like the duration of the blockage and the location of the blockage.

01
Meet your cardiologist to discuss symptoms, medical history, and perform basic tests.

02
Review diagnostic results and receive a personalized heart care plan.

03
Undergo procedures like angioplasty or stenting to restore heart function.

04
Regular check-ins to monitor progress, adjust medications, and prevent relapse.
Connect with your doctor from the comfort of your home. Book a secure and private video consultation for expert medical advice—anytime, anywhere.

WhatsApp us